Smile Gallery

We love to see you Smile

Our gallery

Be Inspired

When it comes to creating a beautiful smile, there is no one size fits all. We are a leader in creating smiles using Veneers in Greenville, SC. We design each smile to fit the needs and desires of EACH INDIVIDUAL! There is no one like YOU! We can’t wait to see you smile! 

CLICK HERE to schedule a consult!

We Love to See You Smile

There is nothing better than to see someone’s face light up when he or she sees a new smile for the first time! Improved health, appearance, function, esthetics, and confidence are a few of the many things we are excited to give our beautiful patients.

before

after

What is your story?

          Every smile has a story. What is your story?  Our Dentists have heard and been a part of countless stories of transformation. From embarrassment to confidence, from pain to peace, from dysfunction to harmony. This is what we want for our beautiful patients. We are not striving for just a pretty smile. We want something more for you. We want LIFE change! The ability to be self-confident and happy with how you present yourself. The ability to look in the mirror and love what you see. We cannot wait to start the journey with you! 

More Beautiful Transformations!

All Dentistry and Photography completed by the dentists of Huggins Dental.

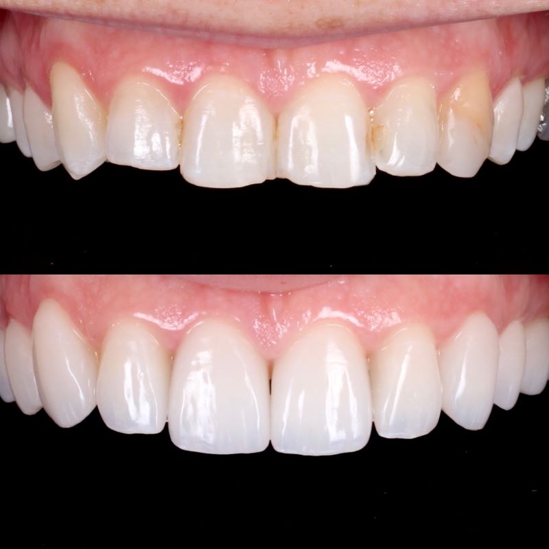
Porcelain Veneers

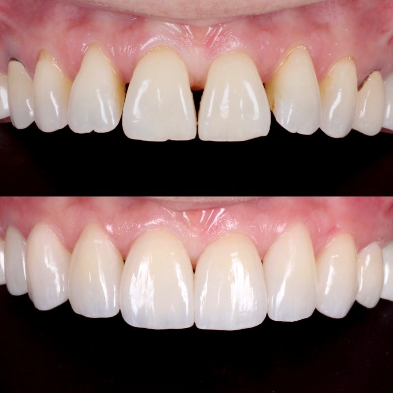
Porcelain Veneers

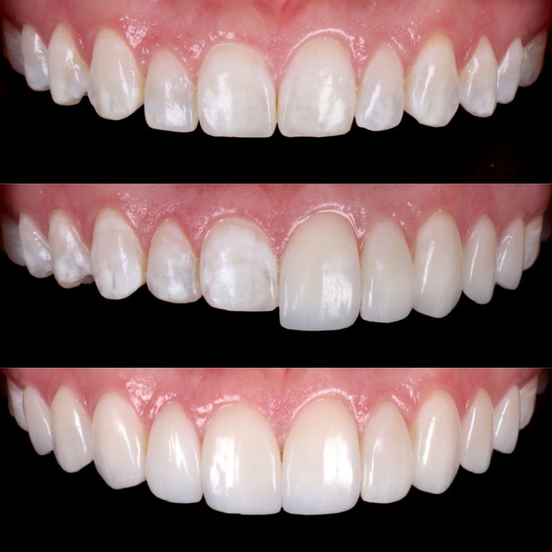
Porcelain Veneers

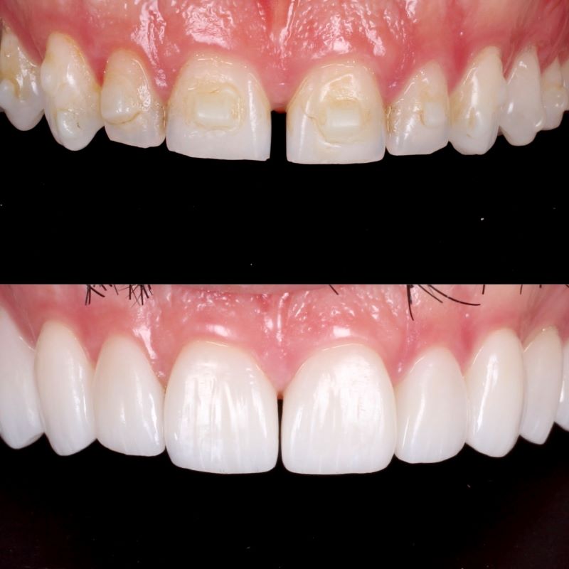
Porcelain Veneers

Porcelain Veneers

Porcelain Veneers

Porcelain Veneers

Porcelain Veneers

Porcelain Veneers

Porcelain Veneers

Porcelain Veneers

Porcelain Veneers

Porcelain Veneers

Porcelain Veneers

Porcelain Veneers

Porcelain Veneers

Porcelain Veneers

Porcelain Veneers

Porcelain Veneers

Porcelain Veneers

Veneers, Crowns & Implants

Porcelain Veneers

Crowns & Bridge

Veneers, Crowns & Implant

Minimal Prep Veneers

Porcelain Veneers

Invisalign & Porcelain Veneers

Invisalign & Porcelain Veneers

Porcelain Crowns and Veneers

Porcelain Maryland Bridge

Gum Lift and Porcelain Veneers

Porcelain Veneers

Porcelain Crowns and Veneers

Lower Implant Bridge

Porcelain Veneers

Implant, Bridge, Veneers, Crowns

Implant, Bridge, Veneers, Crowns

Porcelain Veneers & Crowns

Porcelain Bridge & Veneer

Porcelain Veneers

Crowns and Partials

Porcelain Crowns

Porcelain Crowns & Veneers

One Wing Porcelain Bridge

Fixed Implant Hybrids

Porcelain Crowns

Porcelain Veneers

Porcelain Crowns

Bridge & Crowns & Veneers

Bridge & Veneer 

Bridge & Crowns & Veneers

Porcelain Veneers & Crowns

Crowns + Veneers

Porcelain Crowns

Porcelain Crowns

Porcelain Veneers

Crowns + Porcelain Veneer

Crown + Porcelain Veneer

Prepless Porcelain Veneers

Orthodontic space closure 

Baby Tooth Removal + Maryland Bridge

Bridges + Crowns + Implant + Veneers

Crown + Porcelain Veneer

3 Unit Bridge + Bonding

Porcelain Veneers

Internal Bleaching

Porcelain Veneers

3 Unit Bridge

Gum Lift

Porcelain Veneers

Prepless Porcelain Veneers

Root Canal + Post/Core + Crown

Implants + Crowns + Veneers

Crowns + Maryland Bridge + Veneers

Gum Lift + Porcelain Veneers

Crown + Porcelain Veneer

Bonding

Porcelain Veneer

Crown + Porcelain Veneer

Crowns + Porcelain Veneers